
Η χολολιθίαση, δηλαδή η δημιουργία λίθων και λάσπης μέσα στη χοληδόχο κύστη, είναι μια συνηθισμένη κατάσταση στον ενήλικα άνθρωπο. Περίπου το 20% του γενικού πληθυσμού πάσχει από χολολιθίαση και αρκετοί από αυτούς έχουν συμπτώματα και θα χρειαστούν θεραπεία. Συνήθως τη συναντάμε σε ηλικίες άνω των 40 ετών αλλά τις τελευταίες δεκαετίες εμφανίζεται ολοένα και συχνότερα σε νεαρότερα άτομα, πιθανόν ως συνέπεια της αλλαγής στον τρόπο ζωής και διατροφής.
Οι χολόλιθοι δημιουργούνται λόγω συμπύκνωσης της χολής, δηλαδή εκείνης της υγρής ουσίας που βοηθάει στην πέψη της τροφής. Οι λόγοι που συμβαίνει αυτό είναι τόσο γενετικοί όσο και περιβαλλοντικοί. Έχουν βρεθεί γονίδια που ευνοούν την ανάπτυξη χολολιθίασης σε κάποια άτομα ή οικογένειες αλλά και εξωτερικοί παράγοντες που κυρίως ευθύνονται για αυτό όπως η παχυσαρκία ή η απότομη απώλεια βάρους, το γυναικείο φύλο, η εγκυμοσύνη, οι τοκετοί, η λήψη οιστρογόνων, το κάπνισμα, η υπέρταση και ο σακχαρώδης διαβήτης.
Η χολολιθίαση μπορεί να μην παρουσιάζει συμπτώματα και συχνά αποτελεί τυχαίο εύρημα σε υπερηχογράφημα κοιλίας. Συνήθως όμως οι πρώτες ενοχλήσεις που έχει κάποιος είναι πόνος ή βάρος στο επιγάστριο (ψηλά στο κέντρο της κοιλιάς) και στο δεξιό υποχόνδριο (κάτω από τις πλευρές) που αντανακλά στην πλάτη, δυσπεψία, «φούσκωμα», δυσκολία στη χώνεψη των τροφών, ναυτία, έμετος και διάρροιες. Ο πόνος μπορεί να είναι βαθύς και επίμονος για αρκετές ώρες ή οξύς και απότομος μετά από μεγάλο και λιπαρό γεύμα (κολικός). Ενίοτε ο πόνος είναι πολύ έντονος και αναγκάζει τον ασθενή να πάει στο νοσοκομείο.
Συχνά η χολολιθίαση είναι «σιωπηλή», δηλαδή προκαλεί ήπια καθημερινά συμπτώματα που ο ασθενής αμελεί ή τα αντιμετωπίζει με απλά παυσίπονα. Αυτό βέβαια προκαλεί μια χρόνια φλεγμονή που μπορεί να οδηγήσει σε σοβαρή χολοκυστίτιδα, περιτονίτιδα ή σπανίως σε καρκίνο της χοληδόχου κύστης.
Πιο συχνή και επώδυνη επιπλοκή είναι η οξεία χολοκυστίτιδα που εκδηλώνεται με έντονο πόνο, εμέτους και πυρετό. Επίσης, σε κάποιες περιπτώσεις προκαλείται χολαγγειακή κρίση (ίκτερος, πόνος και πυρετός) ή παγκρεατίτιδα. Και οι δύο αυτές καταστάσεις είναι σοβαρές και απαιτούν νοσηλεία σε νοσοκομείο.

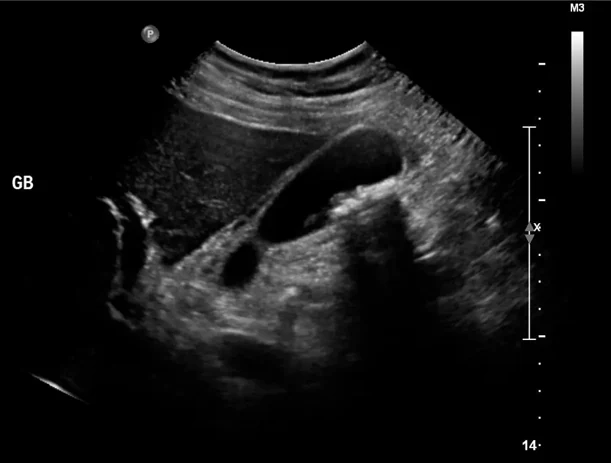
Η διάγνωση της χολολιθίασης γίνεται με την κλινική εξέταση και κυρίως με υπερηχογράφημα κοιλίας. Σε περιπτώσεις που υπάρχει σοβαρή φλεγμονή μπορεί να επηρεαστούν και οι εξετάσεις αίματος του ασθενή.

Η μοναδική οριστική θεραπεία είναι η χειρουργική και συγκεκριμένα η Λαπαροσκοπική χολοκυστεκτομή όπου αφαιρείται ολόκληρη η χοληδόχος κύστη με τους λίθους. Η επέμβαση διαρκεί λίγη ώρα και ο ασθενής παίρνει εξιτήριο την ίδια ή την επόμενη μέρα. Ο πόνος είναι ελάχιστος και η επιστροφή στην καθημερινότητα άμεση.
